神奇的“植物外泌体”?铁皮石斛衍生的纳米囊泡登顶顶刊,揭示皮肤再生新密码!
在中医里,铁皮石斛(Dendrobium officinale)一直被视为“滋阴圣品”。但你是否想过,这种名贵的中药材,未来或许能成为治疗烧伤、溃疡甚至顽固性皮肤病的“神药”?
近日,国际权威期刊《Journal of Nanobiotechnology》发表了一篇题为“Dendrobium officinale-derived nanovesicles: a natural therapy for comprehensive regulation of angiogenesis, inflammation, and tissue repair to enhance skin wound healing”的文章,揭示了铁皮石斛来源的纳米囊泡(DO-NVs)在皮肤伤口愈合中的惊人机制。它不仅证实了中药的现代科学内涵,更为我们带来了一种全新的治疗策略。
今天,就让我们一起揭开这层神秘的面纱。
一、什么是“植物纳米囊泡”?
在解读这项研究之前,我们需要先认识一个新概念——植物源性纳米囊泡(PDNVs)。
你可以把它想象成植物细胞分泌的“微型快递车”。这些囊泡直径通常在100-300纳米之间,由磷脂双分子层构成,内部包裹着母体植物特有的活性成分(如miRNA、蛋白质、脂质和次级代谢产物)。
核心发现:
研究人员从铁皮石斛中成功分离并鉴定了这种纳米囊泡(DDNVs),实验发现,这些来自植物的“小囊泡”不仅生物相容性极好,而且能够被人体的皮肤细胞高效摄取。除此之外,还发现DDNVs可以促进血管生成、改善组织修复和调节炎症,在增强皮肤伤口愈合方面展现出强大的潜力。这些发现支持DDNVs作为新型植物衍生新药用于慢性创伤治疗和皮肤再生的临床开发。

图1 DDNVs的提取、表征与分析。(A) 使用不同离心梯度提取石斛来源的DDNVs。(B) 通过差速离心后蔗糖梯度超速离心实现 DDNV 纯化。超速离心过程中,蔗糖梯度分为四层,浓度依次为15%、30%、45%和60%,从上至下。超速离心后,DDNVs主要定位于60%蔗糖梯度层。(C) 从60%蔗糖梯度层收集的石斛来源纳米囊泡的透射电子显微镜图像。(D) 使用纳米颗粒跟踪分析(NTA)分析DDNVs的大小和浓度(比例尺=200 nm)。
二、三管齐下:它是如何“修复”皮肤的?
这项研究最令人兴奋的地方在于,DDNVs 并不是单一地促进伤口闭合,而是通过“抗炎、促血管生成、促组织修复”三个维度进行综合调控。

图2. 示意图显示DDNVs在促进皮肤创面新生血管形成与组织修复的同时减轻炎症的作用
01、DDNVs在体内促进皮肤伤口愈合:通过CD31表达和胶原蛋白合成促进组织修复
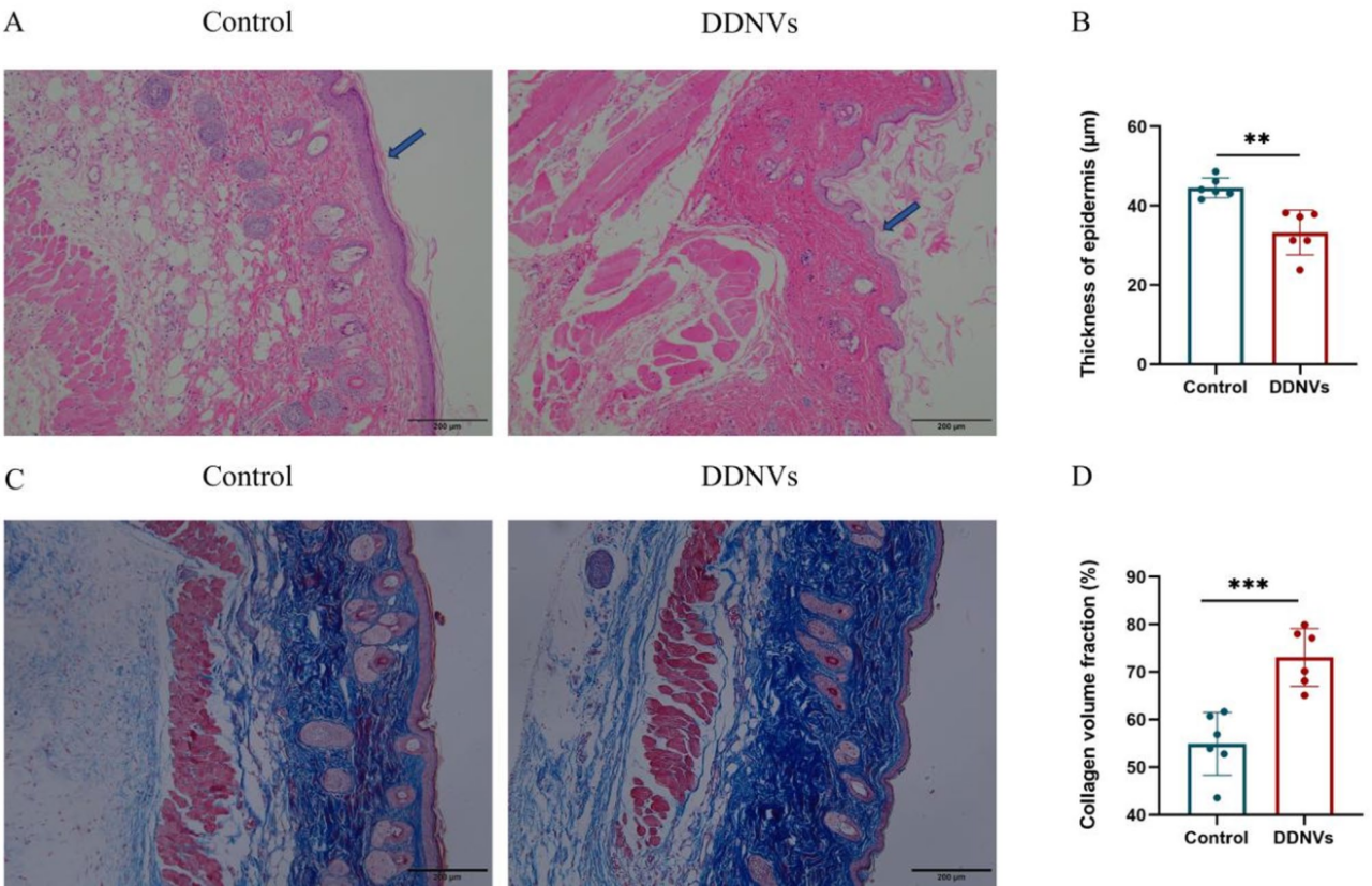
伤口愈合的第一步是控制炎症,如果炎症反应过激,伤口就会红肿、化脓,甚至经久不愈。在皮肤创伤模型中,皮下注射DDNVs在10天内显著加速了伤口愈合并改善了组织修复,相比对照组(见图3B和C)。在关键时间段(第0、3、6和10天),DDNVs组伤口愈合更快。到第10天,它们的伤口几乎完全愈合,表现优于对照组。新生血管形成对伤口愈合至关重要,于第10天通过CD31免疫荧光染色评估,该染色标志着新血管的形成。免疫荧光分析显示,DDNVs处理的组织CD31信号比对照组更强,暗示血管新生增加(见图3D和E)。这凸显了DDNV增强伤口新生血管形成的潜力。第10天,使用HE和Masson三色染色进行组织学分析显示,DDNVs治疗的伤口表皮层较薄,胶原沉积更多(见图4)。这些发现表明DDNVs通过促进胶原蛋白沉积和组织修复,加速伤口愈合。

图3. DDNVs局部应用对小鼠模型皮肤创面愈合的影响。(A) 将PKH26标记的DDNVs注射到小鼠背部皮肤中,并在注射后24小时收集组织样本。PKH26标记的DDNVs呈现红色,而细胞核染成蓝色(比例尺=200 μm)。(B) 在小鼠背部制造全层皮肤切除创面,随后每日用200 µL 的DDNVs(10 mg/mL)处理,直至创面完全闭合。(C) 观察期内小鼠创面愈合百分比。(D) 小鼠皮肤组织中CD31的免疫荧光染色,CD31显示为红色,细胞核染成蓝色(比例尺=100 μm)。(E) 对CD31染色的平均荧光强度进行定量分析。结果基于三次或更多独立实验的数据。统计学显著性表示为p<0.05、p<0.01和 p<0.001 与对照组相比。

图4. 小鼠模型局部应用DDNVs后皮肤组织的形态学分析。(A) 皮肤组织切片的HE染色以评估组织形态,包括 DDNV 处理后的表皮厚度(比例尺=200 μm)。(B) 统计图显示从HE染色的皮肤组织切片中得出的表皮厚度。(C) 皮肤组织切片的Masson染色以分析DDNVs处理组织中的胶原蛋白表达(比例尺=200 μm)。(D) 统计图显示从Masson染色的皮肤组织切片中得出的胶原蛋白体积分析。结果代表三次或更多独立实验的数据,统计学显著性表示为**p<0.01 和 *** p<0.001 与对照组相比。
02、DDNVs可以促细胞增殖、迁移及血管生成
对于大面积烧伤或糖尿病足溃疡,最大的难点在于局部血管坏死,营养送不进去。
通过对不同DDNV浓度下的EdU阳性细胞的定量分析显示,治疗组的增殖显著增加,伤口愈合检测显示,DDNVs促进了HUVECs和HaCaT细胞的迁移。起初,划痕区域无差异,但24小时后,DDNV处理细胞的闭合明显高于对照组(5A–D)。为进一步探讨DDNVs的血管生成潜力,进行了利用HUVECs的管状形成测定,研究结果显示,DDNVs处理的HUVECs管状结构显著增加(图5E)。与未治疗对照组相比,DDNV处理的HUVECs分支点数量明显增加,表明血管生成增强(图5F)。

图5.DDNVs对迁移能力和血管生成活性的影响(A) 不同浓度DDNV对处理后HUVEC迁移能力的影响(比例尺=100μm)。(B)对不同浓度DDNVs处理的HUVEC迁移能力进行统计分析。(C)不同浓度DDNVs对HaCaT细胞迁移能力的影响(Scale bar = 100 μm)。(D)DDNVs处理后HaCaT细胞迁移能力的统计分析。(E)不同浓度的DDNVs对HUVECs血管生成能力的影响(比例尺=200μm。(F)对不同浓度DDNVs处理的HUVECs血管生成能力进行统计分析。这些结果来自三个或更多独立实验,结果一致(对照组为:*p < 0.05,**p < 0.01,***p < 0.001)。
03、DDNVs激活AKT/eNOS信号通路并调节血管生成基因表达
本研究还考察了DDNVs如何影响AKT/eNOS通路中的关键蛋白,以及HUVECs中VEGFR-2和ICAM-1的表达。DDNVs在所有浓度下都能增加AKT/eNOS通路中的蛋白质磷酸化,中间水平效果最为显著。VEGFR-2在低浓度和高浓度下均有上升,而ICAM-1在中等浓度下表现显著下降(图6A),统计分析显示,DDNVs显著增加VEGFR-2表达,激活AKT/eNOS通路,并降低ICAM-1表达(*p < 0.05,***p < 0.001)(图6B和E)。qRT-PCR结果(图6F–H)表明DDNVs(2.5×10^8颗粒/mL)显著上调了HUVECs中eNOS和VEGFR-2 mRNA水平,并下调了ICAM-1 mRNA表达(*p < 0.05)。研究显示DDNVs促进血管生成相关基因表达,并降低HUVEC中炎症相关基因表达。

图6. DDNVs对AKT/eNOS信号通路激活及HUVEC中血管生成相关基因表达的影响。(A)对参与AKT/eNOS信号通路的目标蛋白进行WB分析。(B-E)对AKT、磷酸化AKT(p-AKT)、ICAM-1、eNOS和磷酸化eNOS(p-eNOS)蛋白质水平进行统计分析。(F-H)在不同浓度DDNVs处理后,HUVECs中eNOS、血管内皮生长因子受体2(VEGFR-2,n=7)和细胞间粘附分子1(ICAM-1,n=3 )mRNA的表达水平。 这些结果来自三个或更多独立实验,结果一致(与对照组相比:*p < 0.05,***p < 0.001)。
三、为什么它比传统药物更有优势?
植物来源外泌体它相比传统的细胞治疗或化学药物,有着天然的优势:
|
维度 |
传统化学药物/生长因子 |
植物纳米囊泡 (DDNVs) |
|
安全性 |
可能有免疫排斥或副作用 |
天然来源,生物相容性极高,低免疫原性 |
|
稳定性 |
蛋白质易降解,半衰期短 |
囊泡结构保护内容物,耐酸碱、耐酶解 |
|
成本 |
合成或提取成本高 |
源于天然植物,提取工艺成熟,成本低廉 |
|
给药方式 |
常需注射 |
可能实现透皮给药(凝胶/喷雾),无痛便捷 |
四、深度思考:从“神农尝百草”到“纳米级精准医疗”
这项研究的意义,远不止于发现了一种新药,它更重要的价值在于打通了中西医的“任督二脉”。
1.中药现代化的典范: 它用现代科学语言解释了为什么铁皮石斛能“生津养胃、滋阴清热”。原来,起作用的不仅仅是某种单一的化学成分,更是这些具有复杂调控能力的纳米级囊泡。
2.天然的“药物载体”: 铁皮石斛囊泡本身具有治疗作用,同时其磷脂双分子层结构还可以作为载体,装载其他难溶性药物(如姜黄素、紫杉醇等),实现“1+1>2”的协同治疗。
3.普惠医疗的希望: 相比于动辄数千元的生物制剂,植物提取物的成本极低。未来,这种“从田间地头到病床”的疗法,有望让昂贵的再生医学变得像创可贴一样普及。
五、总结
虽然目前这项研究主要是在细胞和动物模型中进行验证,距离我们用上成品药还有一段路要走(需要经过严格的临床试验),但它无疑为我们指明了一个充满希望的方向。也许在不久的将来,当我们被烫伤或划伤时,涂抹的不再是传统的药膏,而是一层富含植物纳米囊泡的智能凝胶,让皮肤在不知不觉中快速、无痕地愈合。
这就是纳米医学的魅力,也是古老中医智慧在现代科技下的华丽转身。
参考文献:Tu J, Xu L, Guo Y, Zhang M, Gan M, Bao X, Yang R, Liu H, Lin F. Dendrobium officinale-derived nanovesicles: a natural therapy for comprehensive regulation of angiogenesis, inflammation, and tissue repair to enhance skin wound healing. Bioresour Bioprocess. 2025 Jul 12;12(1):74.
最新动态
-
12.24
导师压箱底的DNA pull down实验全流程拆解!
-
12.24
从靶点发现到药物验证:SPR +CoIP +ChIP+双荧光+pull down共同验证雷公藤红素如何为胰腺癌提供全新治疗线索?
-
12.24
REGEN BIOMATER| 首次揭示-红景天来源纳米囊泡在血管再生治疗中的突破性进展!
-
12.10
文献阅读:一分钟教你看懂火山图
-
12.10
RNA-蛋白互作研究全景解析:从circPOLR2A案例看机制探索之路
-
12.10
神奇的“植物外泌体”?铁皮石斛衍生的纳米囊泡登顶顶刊,揭示皮肤再生新密码!
-
11.20
Journal of Pharmaceutical Analysis | 生姜外泌体作为姜黄素递送系统在治疗溃疡性结肠炎中的应用
-
11.20
J Nanobiotechnology | 叶酸修饰的生姜衍生的细胞外囊泡可以重塑免疫微环境,靶向治疗类风湿性关节炎
-
11.20
WB实验翻车无数次?可能从一开始,你的抗体就选错了!
-
11.20
从“核心”到“网络”:如何以已知基因为锚点,绘制其上下游通路图谱!


