共筑“创新铁三角”:湖北中医药学会与生之源深化产学研创新
湖北省中医药学会检验医学专业委员会联合生之源成功举办产学研深度融合学术沙龙
18
2022.04Nature: MERFISH绘制小鼠初级运动皮层空间细胞图谱
之前小编介绍了基于成像技术的单细胞空间转录组技术,现在让我们通过庄小威团队2021年在Nature上发表的Spatially resolved cell atlas of the mouseprimary motor cortex by MERFISH一文,来了解MERFISH(多......
01
2022.04【详解】基于图像的单细胞空间分辨转录组学技术
单细胞多组学技术被Nature Methods评为2019年年度技术方法,紧接着空间转录组就被Nature Methods评为2020年年度技术方法,单细胞转录组测序加空间转录组联合分析已经是目前炙手可热的转录......
07
2022.11知无不“研”,五分钟带你了解空间分辨转录组学的前世今生
“空间”一词源自拉丁语 spatium,意为“空间”,可用于描述对象在相对位置方面如何相互关联。许多生物系统的功能,如胚胎、肝小叶、肠绒毛和肿瘤,都取决于它们细胞的空间组织。......
20
2022.01一起科研走花路,探索你不知道的酵母杂交筛选小技巧
一起科研走花路,探索你不知道的酵母杂交筛选小技巧。酵母杂交的筛选可以简单理解为一场浩瀚的自由恋爱相亲大会。一个蛋白可以与很多很多蛋白发生相互作用,在不同的时间场所......
18
2022.04【盘点】植物外泌体研究知多少?
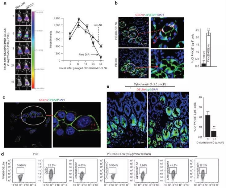
植物外泌体是由植物细胞分泌的纳米级小囊泡,内含DNA、小RNA(small RNA,sRNA)、微小RNA(microRNA,miRNA)和蛋白质等物质,介导细胞间的通讯。植物外泌体纳米粒大多可食用,可作为递送......
最新动态
【客户文献分享】药用真菌槐耳(Huaier)来源外泌体样纳米颗粒:携带miRNA跨物种调控,精准抑制乳腺癌
IF:12.6首报!黄芪来源外泌体样纳米颗粒三重机制协同治疗前列腺癌
同为抗体,为什么一抗看“抗原种类”,二抗却看“一抗种属”?
J Nanobiotechnology(IF=12.6):蔓越莓“纳米邮差”递送麦角甾醇,重启早衰卵巢功能!
没有抗体?不是模式植物?DAP-seq照样搞定你的TF靶基因!
高分研究的共同选择:三篇权威文献背后的ChIP实验工具解析
表观遗传学进入“多维验证”时代,这些疾病机制再也藏不住了!
“药食同源”顶刊思路(IF=10.5)!来源鉴定+活性追踪+体内验证,全面解析无花果来源外泌体抑制乳腺癌骨转移的双重机制!
千年古方,纳米新生:科学家破解半夏如何“指挥”免疫细胞对抗肺癌!
技术跨界联用:表观遗传学进入“多维验证”时代,这些疾病机制再也藏不住了!文末有惊喜活动!